Un proyecto de investigación incorpora IA y Big Data para mejorar el diagnóstico y tratamiento en psicosis

Proyecto impulsado por el Instituto de Investigación Sanitaria INCLIVA, y (UPV que permite mejorar los sistemas de diagnóstico y tratamiento en psicosis
Proyecto impulsado por el Instituto de Investigación Sanitaria INCLIVA, y (UPV que permite mejorar los sistemas de diagnóstico y tratamiento en psicosis - INCLIVA
Europa Press C. Valenciana
Publicado: jueves, 13 febrero 2020 12:10


VALNCIA, 13 Feb. (EUROPA PRESS) -

El Instituto de Investigación Sanitaria Incliva, del Hospital Clínico de Valncia, ha impulsado, junto con la Universitat Politcnica de Valncia (UPV), un proyecto dirigido a la mejora de los sistemas de diagnóstico y tratamiento en psicosis mediante la incorporación de técnicas de Inteligencia Artificial y Big Data.

El proyecto, según su responsable, el doctor Julio Sanjuán, coordinador del Grupo de Investigación de Psiquiatría de Incliva y de la Unidad de Primeros Episodios Psicóticos del Hospital Clínico de Valencia, "nace de una larga trayectoria, de más de 20 años, de este grupo de investigación buscando indicadores (marcadores biológicos) que nos ayuden tanto en el diagnóstico como en el pronóstico en la psicosis".

El objetivo principal, añade Sanjuán en un comunicado, es "poder predecir, ante el primer episodio psicótico, la respuesta al tratamiento y el curso de la enfermedad, para, en definitiva, ofrecer el tratamiento óptimo a cada paciente".

El proyecto tiene en cuenta dos estrategias para mejorar los sistemas diagnósticos y terapéuticos de la práctica clínica diaria. Por un lado, el análisis de los datos de seguimiento de la muestra total de pacientes atendidos en la Unidad de Primeros Episodios, que son representativos de la población global.

Y, por otro lado, el empleo de técnicas de Inteligencia Artificial, para lo que se ha incorporado al grupo de investigación María José Castro, del Instituto Valenciano de Investigación en Inteligencia Artificial (VRAIN, por sus siglas en inglés) de la UPV, experta en el análisis de datos a través de machine learning, para la generación de un algoritmo diagnóstico-pronóstico.

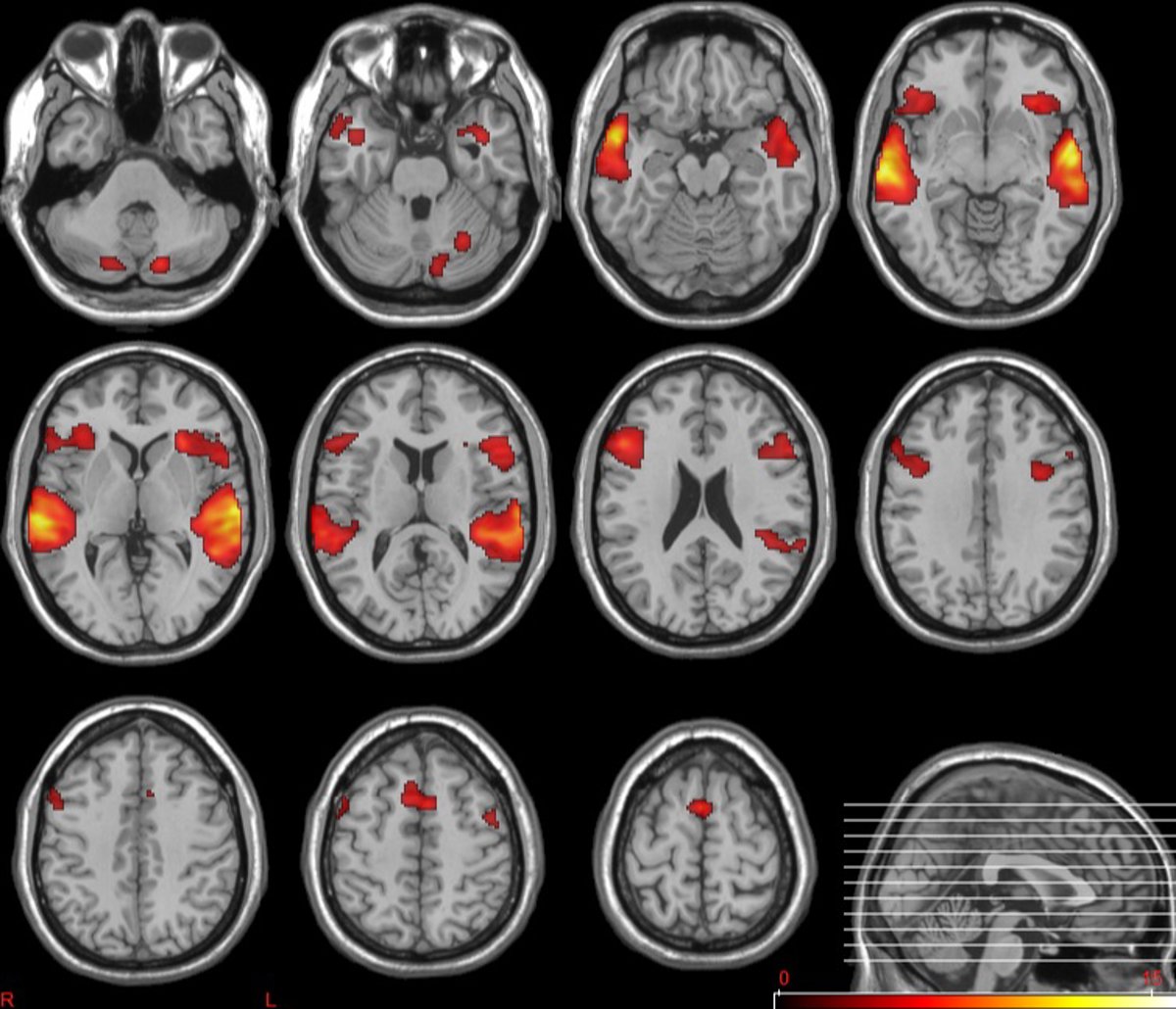
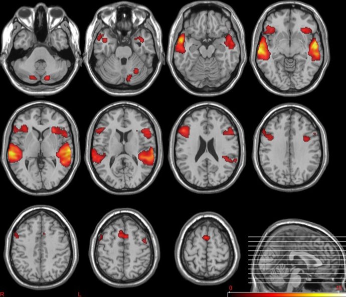
En la actualidad, hay resultados preliminares muy prometedores del uso de esta técnica con Resonancia Magnética Funcional. La intención de los investigadores es aplicar dicho análisis al conjunto de datos, incluyendo datos clínicos, genéticos y de neuroimagen.

'MACHINE LEARNING'

En cuanto a la recogida de datos clínicos, genéticos y de neuroimagen, el proyecto está muy avanzado, con el registro de datos de más de 200 individuos. Los análisis de 'machine learning' se han realizado hasta ahora solo con los datos de neuroimagen funcional pero, en unos años, se espera poder disponer de un análisis del conjunto de datos, para lo que se realizarán este tipo de resonancias tanto en hospitales nacionales como internacionales. Además, el estudio se ampliará para incluir datos de la historia clínica del paciente y sus datos génicos.

"Las técnicas de 'machine learning' están ya transformando la medicina reduciendo el tiempo necesario para alcanzar un diagnóstico. Todos los años aparecen soluciones nuevas y más avanzadas, especialmente en campos de la medicina asociados a detección de tumores u otras enfermedades degenerativas. Pero estos avances no se han alcanzado en la rama de la psiquiatría, debido a que no existen marcadores biológicos detectables", apunta Castro.

Actualmente, las técnicas de 'deep learning' pueden analizar muchos más factores y casos que los especialistas humanos. Para ser más precisos, se pueden utilizar estas técnicas, entre otras aplicaciones, para la investigación del genoma, el desarrollo de fármacos y las imágenes médicas. Estos sistemas automáticos pueden aprender y analizar grandes cantidades de información y tomar decisiones mucho más rápido que los humanos.

"Deberíamos avanzar hacia una colaboración conjunta entre los expertos humanos con estas técnicas automáticas, usando los resultados de los algoritmos de ayuda al diagnóstico como sistemas de soporte para tomar decisiones médicas", añade la investigadora del Instituto VRAIN de la UPV.

En el proyecto intervienen, del grupo de investigación multidisciplinar del Dr. Sanjuán, los investigadores clínicos Dr. Eduardo J. Aguilar y la Dra. María Dolores Moltó (genetista), así como investigadores de modelos animales, como el Dr. Juan Ncher. Colaboran también Gracián García-Martí y Luis Martí-Bonmatí, del Departamento de Imagen de la Clínica Quirón.

Asimismo, se está colaborando con otros grupos de investigación españoles a través de Cibersam, y con otros extranjeros, a través de consorcios internacionales.

El proyecto cuenta con una financiación total de 349.640 euros, procedentes del FIS 01/01/2018 - 31/12/2020 Resonancia Magnética Funcional y Expresión Génica como predictores en primeros episodios psicóticos (110.000 ); Prometeo- Investigación de marcadores biológicos y nuevas estrategias terapéuticas en la Psicosis (179.940 ); e Innval-Nueva Técnica para el Diagnéstico individualizado de Psicosis, basada en aprendizaje (59.700 ).

SOBRE LA PSICOSIS

La psicosis (esquizofrenia y trastorno bipolar) constituye una de las principales causas de discapacidad en el mundo. La prevalencia de la psicosis está entre el 3 y el 4%. El coste que supone el tratamiento de la psicosis en Europa es de alrededor de 93.900 millones de euros. Muchos estudios han demostrado que la detección precoz y el tratamiento temprano no solo mejoran el pronóstico clínico, sino que reducen claramente los costes generales.

Pese a este interés, en la investigación en la psicosis, existe una preocupante disociación entre la investigación y la práctica clínica. Aunque se han hecho importantes avances, estos avances no se han traducido, en general, en una mejora o cambio de los sistemas diagnósticos y de tratamiento en la práctica clínica.

Por ello, la investigación de las causas y de nuevas estrategias terapéuticas en la enfermedad mental constituye una línea prioritaria de la Organización Mundial de la Salud, del Instituto de Salud Carlos III, así como de otros organismos sanitarios en el ámbito internacional, nacional y autonómico.

Últimas noticias sobre estos temas

Contenido patrocinado

Hemeroteca en Valencià d'Europa Press