Reabre la UCI del Hospital de Fuenlabrada tras desinfección "exhaustiva" y dar negativo en Aspergillus las muestras

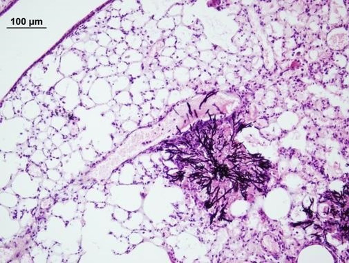
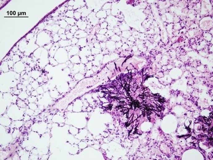
Hongo Aspergillus fumigatus
IBFG
Europa Press Madrid
Actualizado: miércoles, 22 noviembre 2017 15:51


FUENLABRADA, 22 Nov. (EUROPA PRESS) -

La Unidad de Cuidadados Intensivos (UCI) de adultos del Hospital Universitario de Fuenlabrada ha reabierto tras una desinfección "exhaustiva" y dar negativo en hongo Aspergillus las muestras ambientales y de superficie tomadas en la unidad, según ha informado la Gerencia del centro.

Durante trece días, la UCI ha permanecido cerrada siguiendo el protocolo establecido por el servicio de Medicina Preventiva ante la detección de dos casos de pacientes afectados por Aspergillus, de 60 y 80 años, que obligó al traslado de todos los pacietnes al área de Reanimación Quirúrgica de manera temporal.

El Hospital ha informado de que se ha procedido a la reapertura de la UCI tras "una limpieza y desinfección exhaustiva de las instalaciones".

Posteriormente a estas tareas, se han recogido "muestras ambientales y de superficie" que han ofrecido resultados "negativos". Además, según fuentes del centro, "tampoco se han registrado nuevas infecciones por el hongo Aspergillus".

De los cuatro pacientes que inicialmente fueron trasladados a este emplazamiento, dos han sido dados de alta a la unidad de hospitalización y otros dos han sido reubicados de nuevo en la UCI.

Artículos Relacionados

Últimas noticias sobre estos temas

Contenido patrocinado