Destinan más de 30.000 euros a mejorar el diagnóstico molecular del síndrome de Lynch

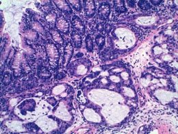
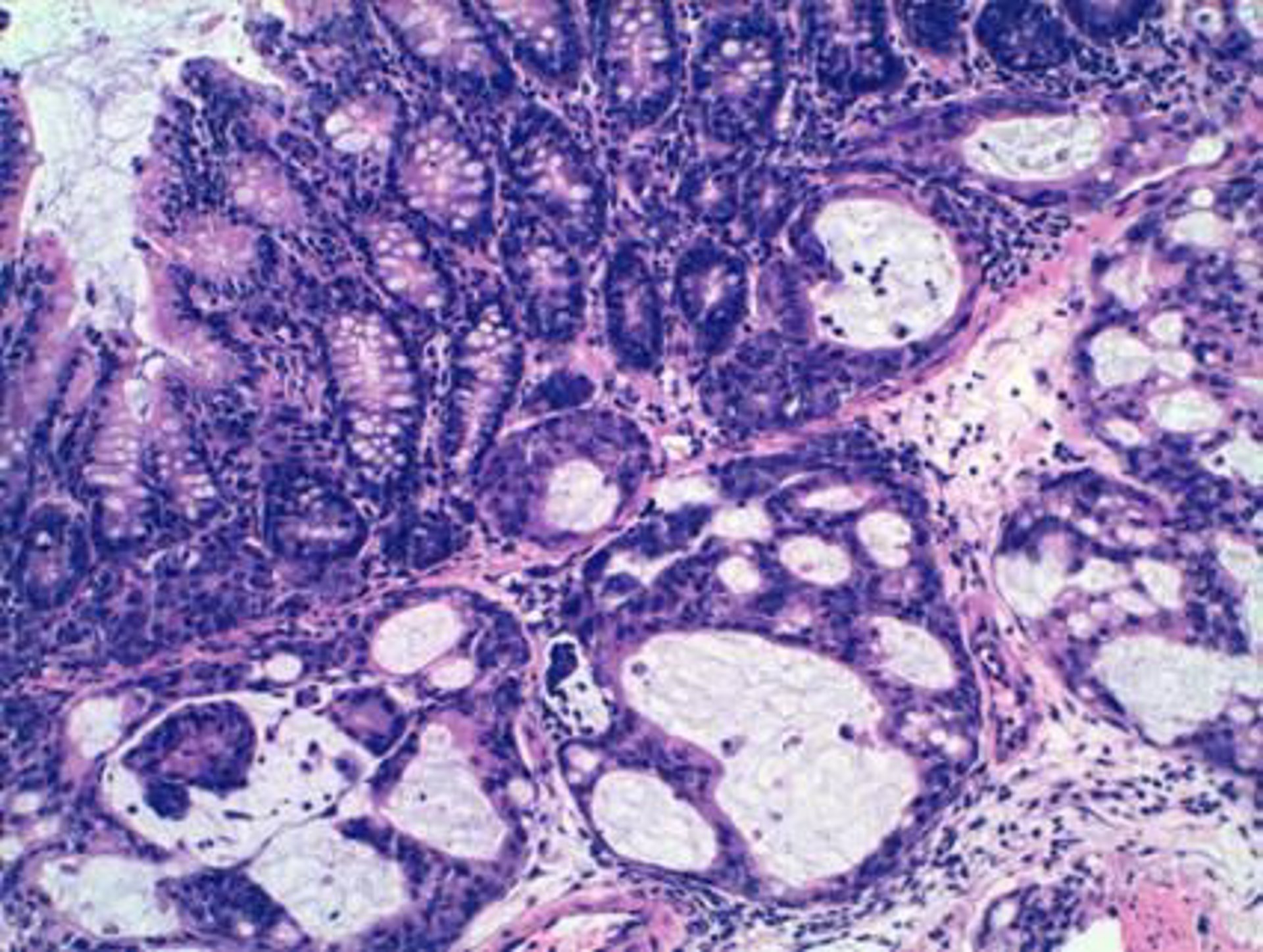
Tumor de colon cuyo crecimiento está inhibico con enoxacina
IDIBELL
Europa Press Sociedad
Actualizado: martes, 25 junio 2013 14:42

BARCELONA 25 Jun. (EUROPA PRESS) -

La Fundación Mútua Madrileña financiará con 33.000 euros durante dos años un proyecto del Institut d'Investigació Biomèdica de Bellvitge (Idibell) para mejorar el diagnóstico del síndrome de Lynch, una enfermedad de predisposición hereditaria al cáncer, a través de una nueva estrategia que permitirá caracterizar mejor las mutaciones responsables de esta enfermedad.

En el marco de la X Convocatoria de Ayudas a la Investigación, la fundación ha seleccionado el proyecto, liderado por la investigadora Marta Pineda, del grupo de investigación en cáncer hereditario del Idibell y el Institut Català d'Oncologia (ICO), ha informado este martes el instituto en un comunicado.

El síndrome de Lynch se debe a mutaciones germinales en los genes reparadores del ADN y, al ser hereditario, las familias que lo padecen presentan un riesgo mayor de desarrollar varios tipos de cáncer, sobre todo de colon y endometrio.

En el análisis de los genes reparadores se identifican un 30% de variantes genéticas de "significado desconocido", por lo que la identificación de una de éstas es clave para evaluar mejor la predisposición a desarrollar un cáncer.

La finalidad del proyecto es estudiar la patogeneicidad de las variantes en los genes reparadores MSH2 y MSH6, lo que permitirá ayudar a las unidades de consejo genético para hacer asesoramiento a las familias.

También permitirá el estudio predictivo de familiares en riesgo, y aplicar medidas de prevención y seguimiento adecuados; además, el estudio de estas variantes se incorporará en la rutina de la unidad de diagnóstico molecular del ICO.

Contenido patrocinado